[ Thread ansehen ] [ Zurück zum Index ] [ Vorheriger Beitrag ] [ Nächster Beitrag ]

Pilze Pilze Forum Archiv 2006

Originalkonfiguration

Geschrieben von: Hans-Jürgen
Datum: 29. November 2006, 21:13 Uhr

Antwort auf: Aldi-Mikroskop missbraucht (Hans-Jürgen)

Eigentlich hatte ich ja nicht zum Mikroskopkauf geraten, sondern bloß zum Kauf des Fotookulars (das es halt nur mit dem Mikroskop zu 49,90 gibt).

Auf vielfachen Wunsch eines einzelnen Herrn habe ich jetzt das Präparat spaßeshalber auch mal unter das Originalmikroskop gelegt. Da kann man nur sagen: Finger weg. Grausig! Das Ding hat 3 Objektive (4x/10x/40x), und mit dem 40er kann man nicht scharfstellen (durchs normale Okular), weil das Objektiv vorher auf dem Deckglas aufsitzt. Fotografieren kann man damit, aber es lohnt sich wirklich nicht, weil es schlicht an allem hapert.

Beispiel 1: 4x-Objektiv:

10x-Objektiv:

Und das 40x-Objektiv:

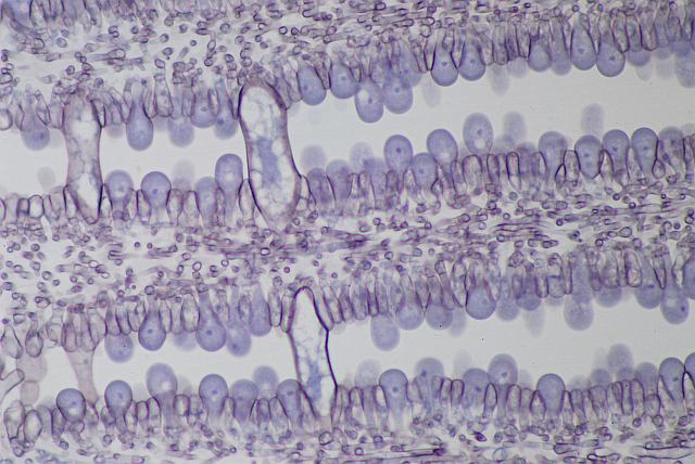
Zum Vergleich nochmal eine reguläre Aufnahme mit meiner Standardkonfiguration (auf 640 x 480 verkleinert):

und ein Ausschnitt daraus (den ich in der Praxis NIE machen würde, weil: Wozu hat man schließlich ein scharf zeichnendes 100er-Immersions-Objektiv?):

Also nochmals zusammenfassend und für alle zum Mitdenken: Von dem Mikroskop rate ich mit Nachdruck für mykologische Zwecke ab. Wer aber schon ein Mikro (mit 23,2 mm Okularstutzen) hat und gerne auf billigem Wege zu Fotos kommen möchte, der kann sich das Teil gerne kaufen, das Mikroskop wegwerfen und die Okularkamera behalten (Hoffentlich habe ich jetzt nicht auch noch alle ökologisch denkenden Menschen gegen mich aufgebracht.

Man kann aber die 50 Euro auch in ein gutes Pilzbuch investieren. Nur fotografiert sich damit halt schlecht.

Gruß
Hans-Jürgen

Beiträge in diesem Thread

Aldi-Mikroskop missbraucht -- Hans-Jürgen -- 29. November 2006, 18:31 Uhr
ja *oT* -- bert -- 29. November 2006, 19:12 Uhr
Re: Aldi-Mikroskop missbraucht -- zuehli -- 29. November 2006, 20:21 Uhr
Re: Aldi-Mikroskop missbraucht -- Werner -- 29. November 2006, 20:30 Uhr
Re: Aldi-Mikroskop missbraucht -- Heinz Ebert -- 29. November 2006, 20:57 Uhr
Re: Aldi-Mikroskop missbraucht -- Werner -- 29. November 2006, 22:03 Uhr
Re: Aldi-Mikroskop missbraucht -- Wolfgang P. -- 1. Dezember 2006, 23:02 Uhr
Digicam-Adaption -- AK_CCM -- 2. Dezember 2006, 01:03 Uhr
Re: Digicam-Adaption -- Wolfgang P. -- 2. Dezember 2006, 22:19 Uhr
Re: Digicam-Adaption -- AK_CCM -- 3. Dezember 2006, 01:06 Uhr
Re: Aldi-Mikroskop missbraucht -- Hans-Jürgen -- 2. Dezember 2006, 01:21 Uhr
Korrektur -- Wolfgang P. -- 2. Dezember 2006, 22:34 Uhr
Re: Korrektur -- AK_CCM -- 3. Dezember 2006, 01:30 Uhr
Re: Korrektur -- Wolfgang P. -- 3. Dezember 2006, 21:32 Uhr
Originalkonfiguration -- Hans-Jürgen -- 29. November 2006, 21:13 Uhr
Re: Originalkonfiguration -- 42 -- 30. November 2006, 11:45 Uhr
Re: Originalkonfiguration -- Hans-Jürgen -- 30. November 2006, 12:20 Uhr

[ Thread ansehen ] [ Zurück zum Index ] [ Vorheriger Beitrag ] [ Nächster Beitrag ]

Pilze Pilze Forum Archiv 2006 wird administriert von Georg Müller mit WebBBS 5.12.