[ Thread ansehen ] [ Zurück zum Index ] [ Vorheriger Beitrag ] [ Nächster Beitrag ]

Pilze Pilze Forum Archiv 2009

Re: Tubulicrinis subulatus? *PIC*

Geschrieben von: Violet
Datum: 9. März 2009, 12:02 Uhr

Antwort auf: Re: Tubulicrinis subulatus? *PIC* (Andreas)

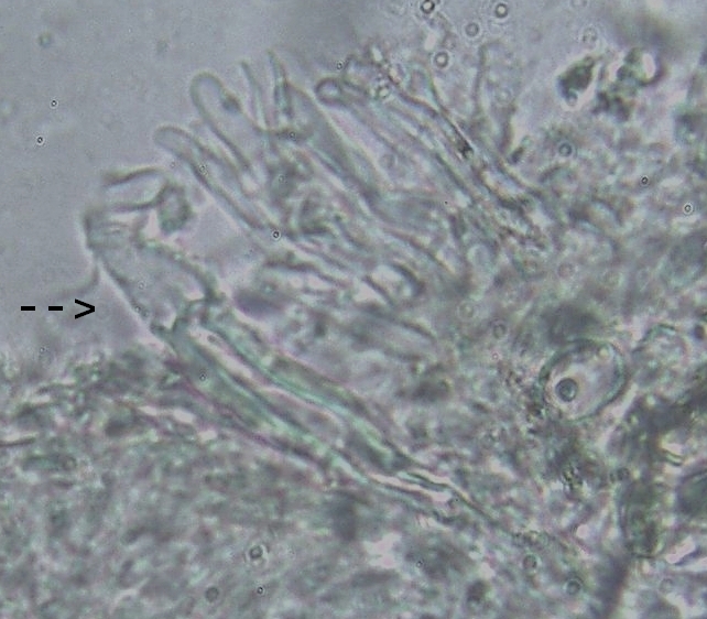
: Bei dem von Dir geknipsten Bild scheint mir der Kristallschopf aber auf der
: angezeichneten Zystide klar erkennbar, vor allem weil die dicke Wand an
: der gekennzeichneten Stelle unter der Auflagerung
: "verschwindet".

: beste Grüße,
: Andreas

Ganz herzlichen Dank, nun hab ich es verstanden, auf dem Bild hier sieht man das auch. Ich hatte in den Präparaten gestern überwiegend nur solche wie die rechte Zystide im oberen Bild gesehen, und deshalb dachte ich an die Lyozystiden von Tubulicrinis. Dass die Kristallschöpfe auch abfallen können, wusste ich nicht. Wieder was gelernt. Ich sags nochmal: Bist echt ein Schatz....
Ditte

Beiträge in diesem Thread

Tubulicrinis subulatus? -- Violet -- 9. März 2009, 08:50 Uhr
Re: Tubulicrinis subulatus? -- Andreas -- 9. März 2009, 09:07 Uhr
Re: Tubulicrinis subulatus? -- Violet -- 9. März 2009, 09:16 Uhr
Re: Tubulicrinis subulatus? -- Andreas -- 9. März 2009, 09:25 Uhr
Re: Tubulicrinis subulatus? -- Violet -- 9. März 2009, 09:49 Uhr
Re: Tubulicrinis subulatus? *PIC* -- Andreas -- 9. März 2009, 11:07 Uhr
Re: Tubulicrinis subulatus? *PIC* -- Violet -- 9. März 2009, 12:02 Uhr
Re: Tubulicrinis subulatus? -- Schnuffel -- 10. März 2009, 22:28 Uhr
Re: Tubulicrinis subulatus? -- Violet -- 11. März 2009, 19:21 Uhr

[ Thread ansehen ] [ Zurück zum Index ] [ Vorheriger Beitrag ] [ Nächster Beitrag ]

Pilze Pilze Forum Archiv 2009 wird administriert von Georg Müller mit WebBBS 5.12.