[ Thread ansehen ] [ Zurück zum Index ] [ Vorheriger Beitrag ] [ Nächster Beitrag ]

Pilze Pilze Forum Archiv 2012-13

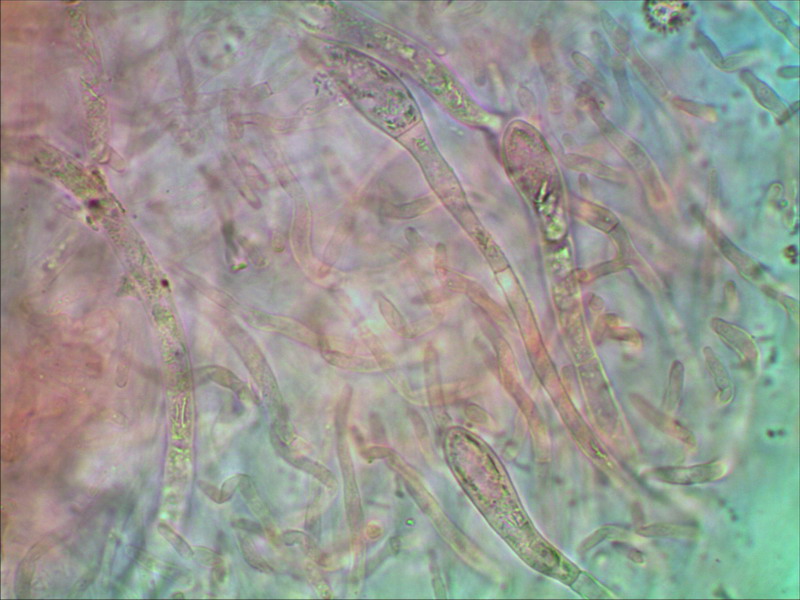
Russula laeta - Freudiger Täubling

Geschrieben von: Harzpilzchen
Datum: 29. März 2013, 22:54 Uhr

Antwort auf: Einige Tauben aus 2012 (Harzpilzchen)

gefunden wie alljährlich unter den Suderöder Friedhofseichen, am 06.Juli 2012
Fruchtkörper 4cm im Durchmesser, Sporenpulver 4c, Sporen isoliert stachelig, Hutzystiden teilweise stark keulig, in SV mit Inkrustationen.










n8i Hartmut

Beiträge in diesem Thread

Einige Tauben aus 2012 -- Harzpilzchen -- 29. März 2013, 17:39 Uhr
Russula emetica - Speitäubling unter Buchen -- Harzpilzchen -- 29. März 2013, 17:45 Uhr
Re: Russula emetica - Speitäubling unter Buchen -- jesko -- 29. März 2013, 20:18 Uhr
Re: Russula emetica - Speitäubling unter Buchen -- phragmobasidie -- 29. März 2013, 20:21 Uhr
Re: Russula emetica - Speitäubling unter Buchen -- jesko -- 29. März 2013, 23:32 Uhr
Re: Russula emetica - Speitäubling unter Buchen -- Harzpilzchen -- 29. März 2013, 20:43 Uhr
Re: Russula emetica - Speitäubling unter Buchen -- jesko -- 29. März 2013, 23:43 Uhr
Russula carpini Hainbuchentäubling -- Harzpilzchen -- 29. März 2013, 18:27 Uhr
Re: Russula carpini Hainbuchentäubling *oT* *PIC* -- Harzpilzchen -- 29. März 2013, 18:34 Uhr
Mhm, -- jesko -- 29. März 2013, 23:22 Uhr
Re: Mhm, -- Harzpilzchen -- 29. März 2013, 23:48 Uhr
Re: Mhm, -- jesko -- 29. März 2013, 23:55 Uhr
Re: Mhm, -- Gábor -- 30. März 2013, 11:21 Uhr
Russula odorata Duftender Zwergtäubling -- Harzpilzchen -- 29. März 2013, 18:31 Uhr
Russula spec. 14.07.12 Friedhofseichen Suderode -- Harzpilzchen -- 29. März 2013, 20:57 Uhr
Re: Russula spec. 14.07.12 Friedhofseichen Suderod -- jesko -- 29. März 2013, 23:46 Uhr
galochroa ist ja auch was feines *oT* -- Harzpilzchen -- 29. März 2013, 23:56 Uhr
Russula laeta - Freudiger Täubling -- Harzpilzchen -- 29. März 2013, 22:54 Uhr
Genau so soll sie sein! *oT* -- jesko -- 29. März 2013, 23:21 Uhr

[ Thread ansehen ] [ Zurück zum Index ] [ Vorheriger Beitrag ] [ Nächster Beitrag ]

Pilze Pilze Forum Archiv 2012-13 wird administriert von Georg Müller mit WebBBS 5.12.