[ Thread ansehen ] [ Antwort schreiben ] [ Zurück zum Index ] [ Vorheriger Beitrag ] [ Nächster Beitrag ]

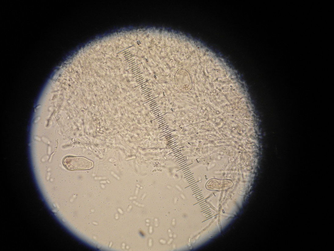
Re: Oligoporus - Zystiden *oT* *PIC*

Geschrieben von: Svampskogen
Datum: 18. September 2014, 14:03 Uhr

Antwort auf: Oligoporus fragilis oder leucomallellus? *PIC* (Svampskogen)

Beiträge in diesem Thread

[ Thread ansehen ] [ Antwort schreiben ] [ Zurück zum Index ] [ Vorheriger Beitrag ] [ Nächster Beitrag ]

Pilze Pilze Forum wird administriert von Georg Müller mit WebBBS 5.12.