[ Thread ansehen ] [ Zurück zum Index ] [ Vorheriger Beitrag ] [ Nächster Beitrag ]

Pilze Pilze Forum Archiv 2009

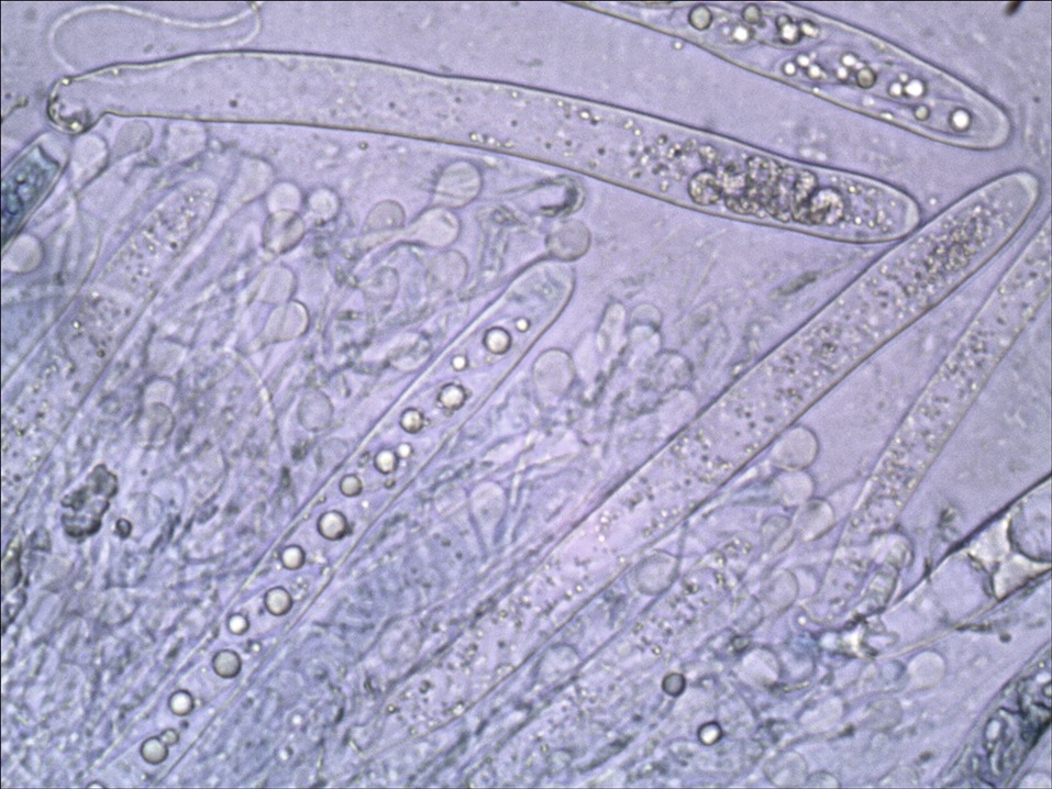
2 Rätsel 1. Teil *PIC*

Geschrieben von: Peter W.
Datum: 11. Dezember 2009, 11:56 Uhr


Liebe Pilzfreunde.

Da will ich mal auch zwei Rätsel einstellen. Beides Funde von Gestern (B.Mühler) und beides Neufunde für Chemnitz.

1. Wie häufig die Art ist kann ich nicht sagen. Auf der DVD von Zotto sind einige Bilder und Tafeln. Die Art hat aber nur einen ungültigen Namen.

Tipp: Früher kannten wir nur zwei Arten (eine klein- und eine großsporige) in dieser Gattung. Heute sind es ein paar mehr, aber diese Art dürfte leicht bestimmbar sein.

Oh, ich hoffe falle ich bei Uschi mit meinen Mikros nicht durch. ;-), sind wirklich nicht die Besten.

Gruß Peter

Beiträge in diesem Thread

2 Rätsel 1. Teil *PIC* -- Peter W. -- 11. Dezember 2009, 11:56 Uhr
Re: 2 Rätsel 1. Teil -- Gernot -- 11. Dezember 2009, 13:06 Uhr
Re: 2 Rätsel 1. Teil -- Peter W. -- 11. Dezember 2009, 14:16 Uhr
Lösung *PIC* -- Peter W. -- 13. Dezember 2009, 11:33 Uhr
Re: 2 Rätsel 1. Teil -- Andreas -- 11. Dezember 2009, 15:19 Uhr
Re: 2 Rätsel 1. Teil *PIC* -- Karl -- 14. Dezember 2009, 18:33 Uhr
Re: 2 Rätsel 1. Teil -- DirkW -- 15. Dezember 2009, 09:39 Uhr

[ Thread ansehen ] [ Zurück zum Index ] [ Vorheriger Beitrag ] [ Nächster Beitrag ]

Pilze Pilze Forum Archiv 2009 wird administriert von Georg Müller mit WebBBS 5.12.