[ Thread ansehen ] [ Zurück zum Index ] [ Vorheriger Beitrag ] [ Nächster Beitrag ]

Pilze Pilze Forum Archiv 2010

Re: Tintlinge

Geschrieben von: Harzpilzchen
Datum: 15. Mai 2010, 00:28 Uhr

Antwort auf: Tintlinge (nobi)

: Hallo Hartmut,

: ich versuche mal deine Tintlinge zu deuten: Coprinus spec. 01: marculentus
: Coprinus spec. 02: cordisporus / patouillardii
: Coprinus spec. 03: macrocephalus
: Coprinus spec. 04: niveus
: Coprinus spec. 05: flocculosus

: Ohne scharfes Glas kann man natürlich nur vermuten.
: Zum Substrat (Pferdemist/Stroh) würden sie alle gut passen!

: Beste Grüße vom Nobi

Vielen Dank, Nobi

Zu den Tintlingen kann ich folgendes nachschieben:
Coprinus 01 bis 03 stehen noch da und tinten vor sich hin

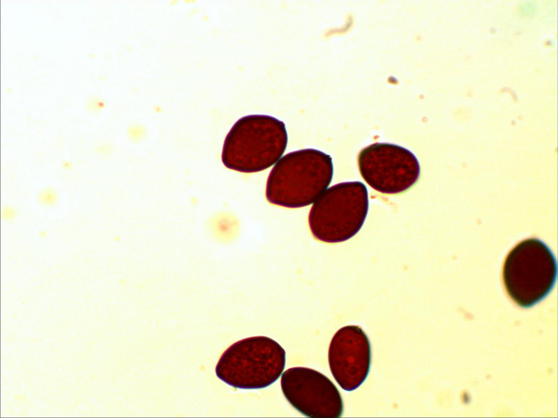
Coprinus 04: Coprinus niveus cf.


min 13,01 x 10,32 Q 1,23
max 16,21 x 12,19 Q 1,39
mittel 14,55 x 10,94 Q 1,33

kommt doch ganz gut hin, oder?

Coprinus 05: Coprinus flocculosus Schiefsporiger Flockentintling



min 15,59 x 8,27
max 17,54 x 9,22
mittel 16,25 x 8,81 Q 1,85

Und der hier hat sich auch wieder bestätigt:


Iodophanus carneus, laut Pilzflora Sachsen Anhalt selten ?
Ist er das, oder gibt es nicht genügend Pilzler, der den Minni Asco sieht?

LG Hartmut

Beiträge in diesem Thread

Neue MIST ige Pilze -- Harzpilzchen -- 14. Mai 2010, 20:13 Uhr
Tintlinge -- nobi -- 14. Mai 2010, 23:31 Uhr
Re: Tintlinge -- Harzpilzchen -- 15. Mai 2010, 00:28 Uhr
Re: Tintlinge -- Ingo Wagner -- 15. Mai 2010, 00:49 Uhr
Re: Tintlinge -- nobi -- 15. Mai 2010, 01:44 Uhr
Nachtrag CONOCYBE -- Harzpilzchen -- 15. Mai 2010, 11:16 Uhr
Re: Nachtrag CONOCYBE -- pilzmel -- 16. Mai 2010, 20:24 Uhr
Re: Nachtrag CONOCYBE -- Harzpilzchen -- 16. Mai 2010, 21:06 Uhr
Toller Haufen -- pilzmel -- 15. Mai 2010, 21:09 Uhr
PSATHYRELLA SPEC. -- Harzpilzchen -- 15. Mai 2010, 21:47 Uhr
Re: PSATHYRELLA SPEC. -- pilzmel -- 16. Mai 2010, 08:37 Uhr
Re: PSATHYRELLA SPEC. -- Harzpilzchen -- 16. Mai 2010, 09:46 Uhr
Re: PSATHYRELLA SPEC. -- pilzmel -- 16. Mai 2010, 20:31 Uhr

[ Thread ansehen ] [ Zurück zum Index ] [ Vorheriger Beitrag ] [ Nächster Beitrag ]

Pilze Pilze Forum Archiv 2010 wird administriert von Georg Müller mit WebBBS 5.12.