[ Thread ansehen ] [ Zurück zum Index ] [ Vorheriger Beitrag ] [ Nächster Beitrag ]

Pilze Pilze Forum Archiv 2010

Violett-fliederfarbene Leptonia zerlegt

Geschrieben von: Thüringer-Holz
Datum: 5. November 2010, 03:19 Uhr


Hallo Forum,

selbstverständlich zerlegt im Sinne von mikroskopisch auseinander genommen.

Vorab meine Makro-Beschreibung:

Standortfoto der zweiten Kollektion vom Mittwoch

Studioaufnahmen Kollektion 01

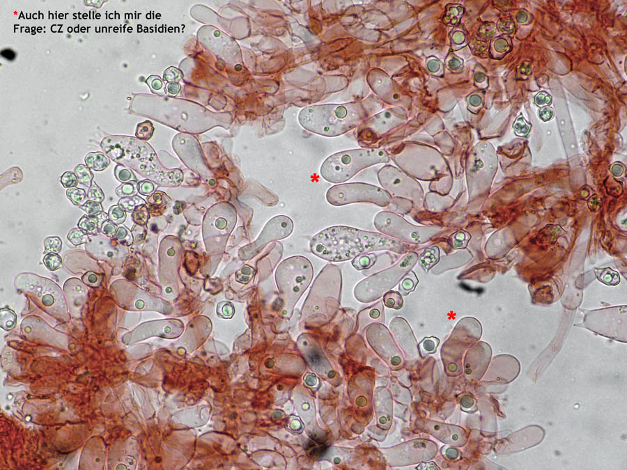
Es folgen (zum Teil selbsterklärende) Mikroaufnahmen

Inzwischen wurde mir von KARL WEHR mitgeteilt, dass die für mich
bis dato unklaren Elemente wohl Basidiolen seien.


Wenn Robin und ich uns nicht total dämlich in der Mikroskopie und
in der Interpretation des Gesehenen angestellt haben,
ist es gut möglich, dass diese Leptonia bisher nur im LUDWIG Band 2
vorgestellt wird.
Da ich aber so überhaupt keine Ahnung von Leptonien habe möchte
ich hier noch keinen Arbeitsnamen nennen und mal schauen ob
sich die hiesigen Entoloma-Kenner zu diesem Fund mal äußern.

Bin gespannt...

Gute Nacht
Felix

Beiträge in diesem Thread

Violett-fliederfarbene Leptonia zerlegt -- Thüringer-Holz -- 5. November 2010, 03:19 Uhr
Vorbildliche Dokumentation! -- Harzpilzchen -- 5. November 2010, 07:41 Uhr
Re: Violett-fliederfarbene Leptonia zerlegt -- Interhias -- 5. November 2010, 07:51 Uhr
Re: Violett-fliederfarbene Leptonia zerlegt -- Andreas -- 5. November 2010, 08:13 Uhr
Re: Violett-fliederfarbene Leptonia zerlegt -- Peter W. -- 5. November 2010, 08:53 Uhr
Korrektur -- Peter W. -- 5. November 2010, 09:20 Uhr
Re: Korrektur -- pilzgrufti -- 5. November 2010, 10:03 Uhr
E.syringaecolor -- Thüringer-Holz -- 5. November 2010, 17:36 Uhr
Weiterführende Fotos zu Schnallen und HDS -- Thüringer-Holz -- 5. November 2010, 17:31 Uhr
Re: Weiterführende Fotos zu Schnallen und HDS -- pilzgrufti -- 5. November 2010, 20:14 Uhr
Re: Weiterführende Fotos zu Schnallen und HDS -- Andreas -- 6. November 2010, 00:04 Uhr
weitere Vorgehensweise -- Thüringer-Holz -- 6. November 2010, 01:14 Uhr
Re: weitere Vorgehensweise -- phragmobasidie -- 6. November 2010, 09:52 Uhr
Re: weitere Vorgehensweise -- Wolfgang P. -- 6. November 2010, 16:29 Uhr
Sammeldank + Zusammenfassung *PIC* -- Thüringer-Holz -- 8. November 2010, 15:41 Uhr
Re: Sammeldank + Zusammenfassung -- Violet -- 8. November 2010, 18:44 Uhr
Danke aber da gibt es bessere.... *oT* -- Thüringer-Holz -- 8. November 2010, 18:51 Uhr

[ Thread ansehen ] [ Zurück zum Index ] [ Vorheriger Beitrag ] [ Nächster Beitrag ]

Pilze Pilze Forum Archiv 2010 wird administriert von Georg Müller mit WebBBS 5.12.