[ Thread ansehen ] [ Antwort schreiben ] [ Zurück zum Index ] [ Vorheriger Beitrag ] [ Nächster Beitrag ]

Mikroskopkamera - Metachromasie *PIC*

Geschrieben von: Andreas
Datum: 17. Januar 2016, 10:21 Uhr

Antwort auf: Re: Pilze quer Beet - Mikrobild HDS (interhias)

Hallo Hias,

: Bei farbigen Medien wie Kongo oder Melzer geht das nicht so einfach,

Da halte ich es so, dass ich einfach erst mal den Kreuztisch soweit wegfahre, dass das Präparat nicht mehr im Bild ist und dann einen Weißabgleich mache. Dann fahre ich das Präparat wieder rein und das klappt eigentlich ganz gut.
Was meine Kamera nicht gut kann ist Baumwollblau, da muss man sehr mit den Farbeinstellungen rumspielen bis es einigermaßen wird, und noch schlimmer ist Metachromasie mit Kresylblau. Das gibt oft eine blaue Soße mit wenig Struktur, da muss man viel mit den Farbeinstellungen korrigieren.

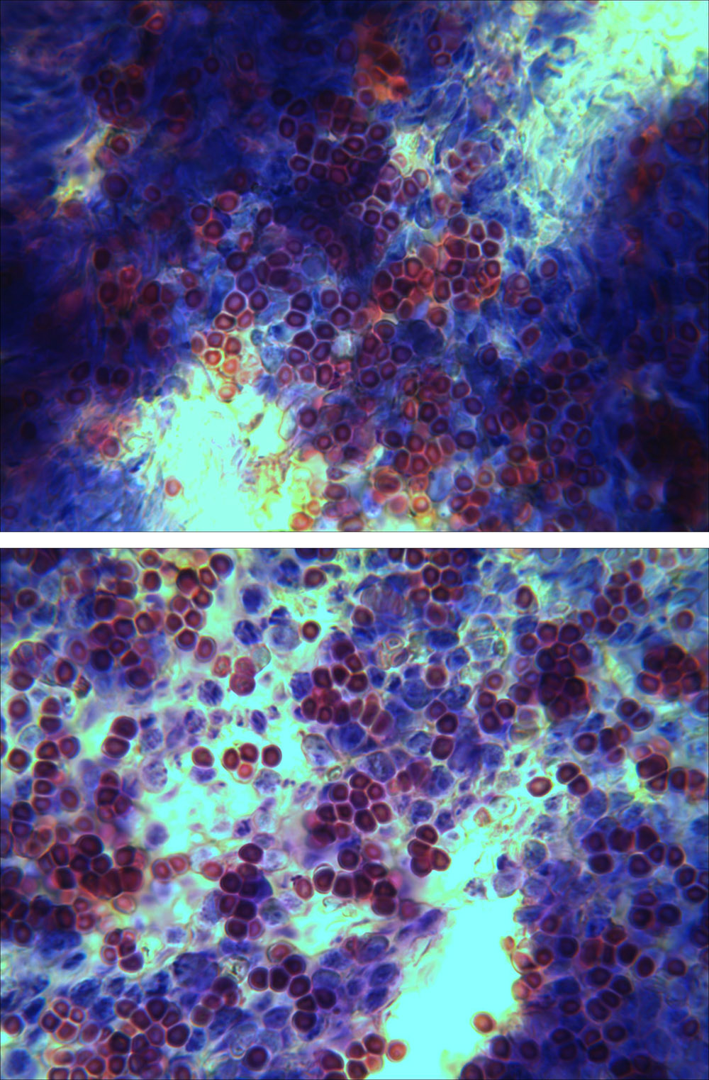
Wer nicht so recht weiß, wie Metachromasie im Mikroskop aussieht, hier ein extrem deutliches Beispiel, anhand von Coniolepiota aff. spongodes, einem Schirmlingsverwandten (gefunden in Äthiopien). Metachromasie bedeutet, dass nicht nur die farbe des Farbstoffs selbser auftritt, sondern noch eine weitere. Bei Pilzen ist das neben dem Blau vom Kresylblau noch Rosa. Macrolepiota-Sporen zeigen dann eine rosa farbene Linie in der Spore, weil die innere Sporenwand rosa reagiert. Bei Leucoagaricus reagiert auch der Porus rosa. Hier bei dieser neu zu beschreibenden Coniolepiota wird die ganze Spore rosa, während das restliche Gewebe halt blau ist, wie Kresylblau eben nun mal färbt.

beste Grüße,
Andreas

Beiträge in diesem Thread

[ Thread ansehen ] [ Antwort schreiben ] [ Zurück zum Index ] [ Vorheriger Beitrag ] [ Nächster Beitrag ]

Pilze Pilze Forum wird administriert von Georg Müller mit WebBBS 5.12.